Straighten your teeth discreetly with clear aligners. Board-certified orthodontist. Free consultation. Flexible financing.
✔ Free Invisalign Consultation
✔ 0% Financing Available
✔ See Your Smile Before You Start
✔ 5-Star Rated Ortho Team
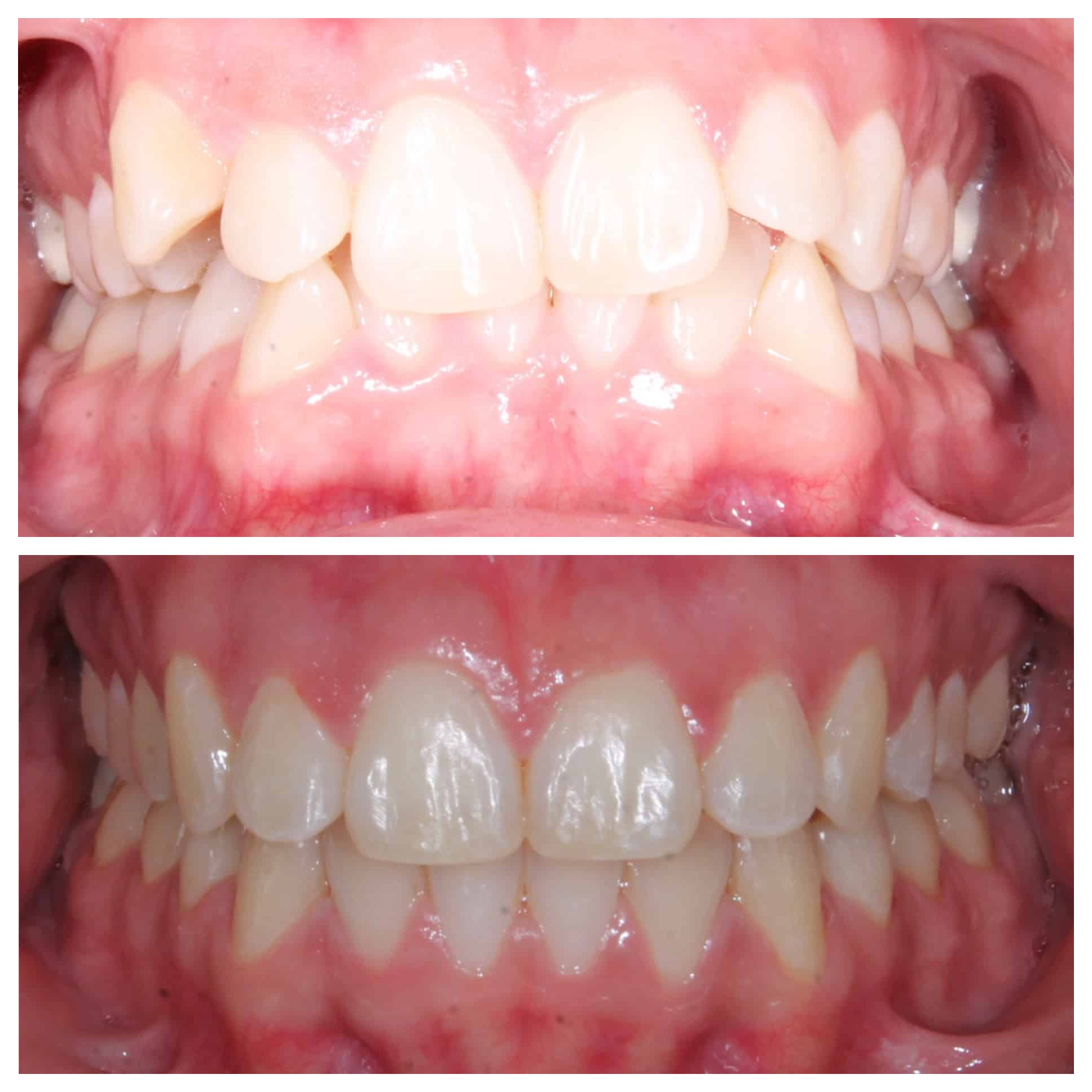
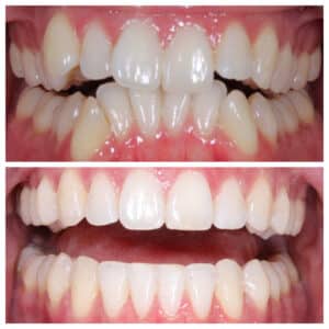
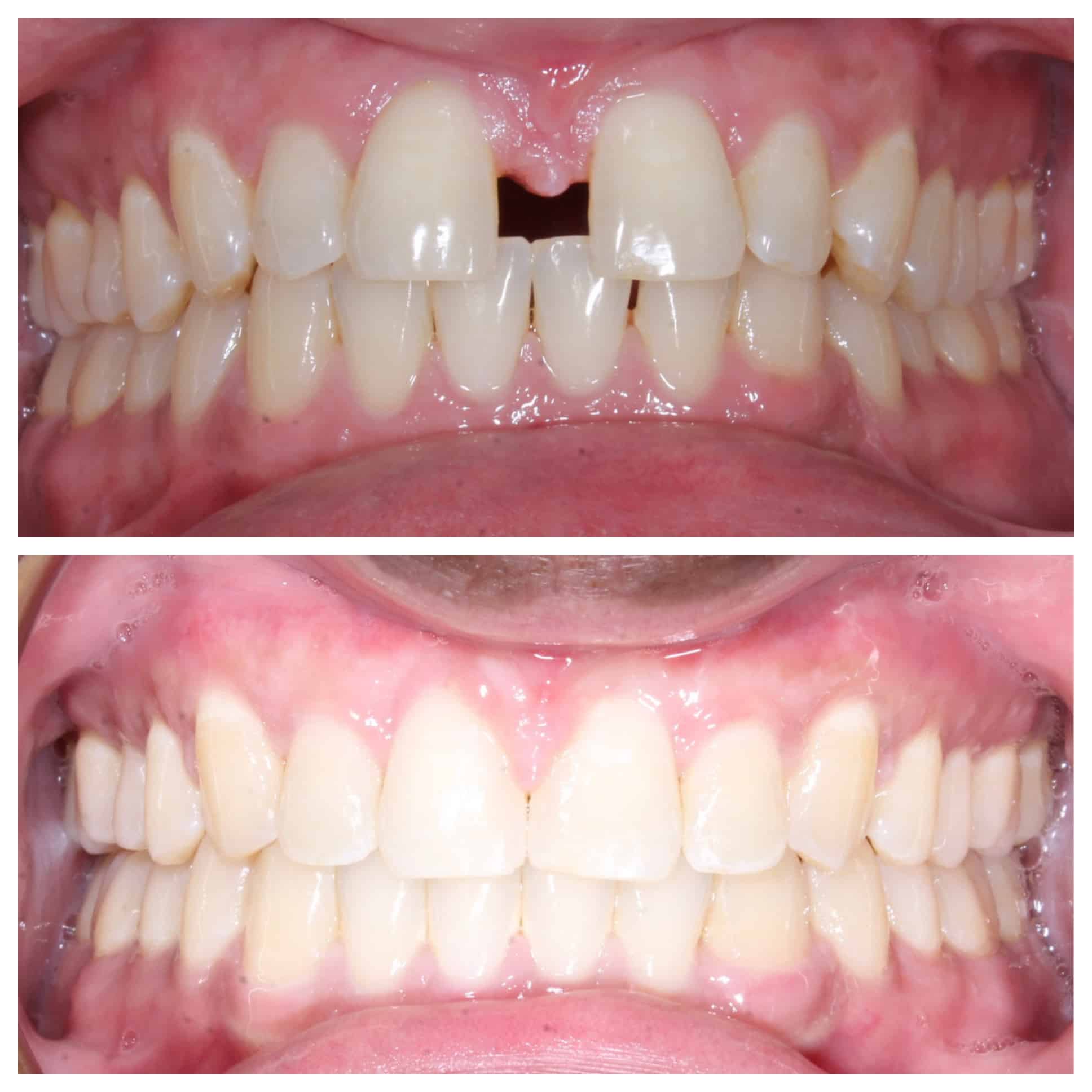
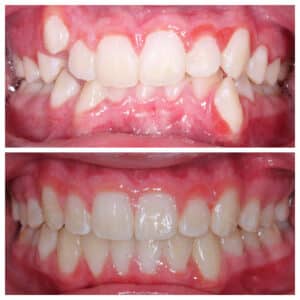
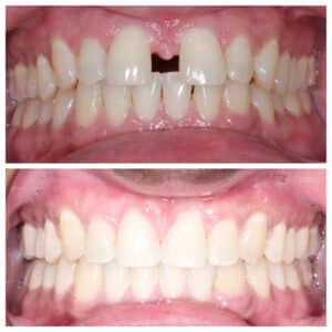
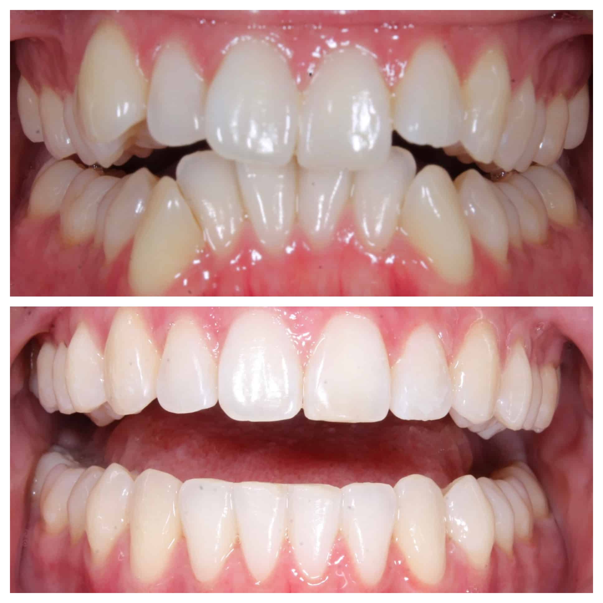
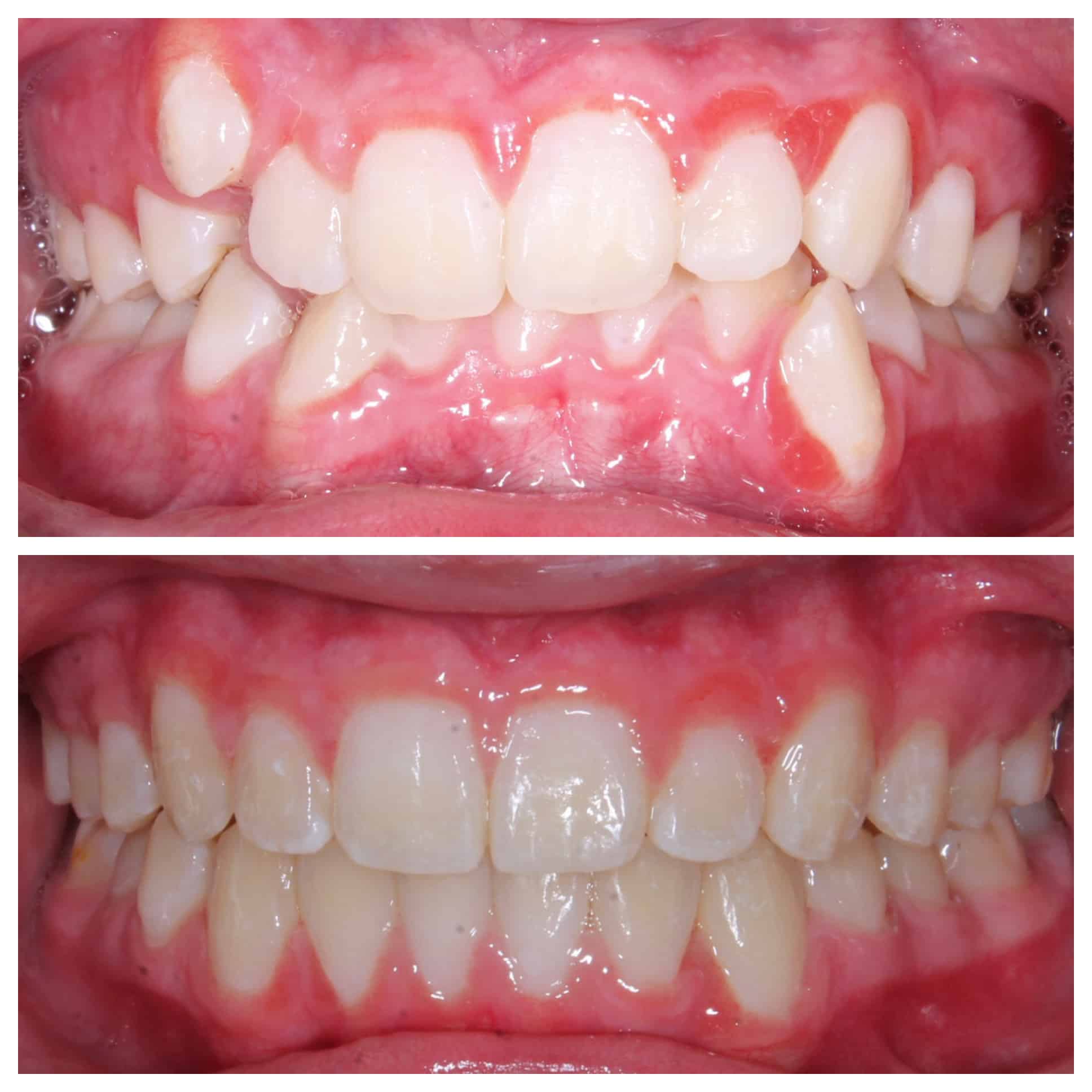
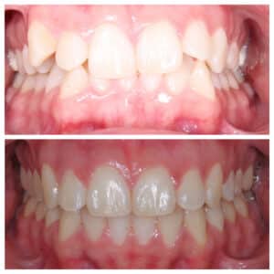
Real Before & After Invisalign Transformations
Invisalign – 18 months
Invisalign – 22 months
Invisalign – 19 months
Invisalign – 17 months
Why Patients Choose Us for Invisalign in Las Vegas
How it works:
1️⃣ Free Smile Consultation
2️⃣ Custom Digital Treatment Plan
3️⃣ Clear Aligners & Confident Smile
We offer flexible monthly payment plans and 0% financing options to make Invisalign affordable. Ask about monthly payment plans during your free consultation.